Nous pouvons réaliser le suivi de votre ou vos chiennes gestantes depuis la saillie jusqu’à la mise bas. Tout d’abord, dans le cas d’une reproduction entièrement naturelle, nous pouvons vous donner tous les conseils nécessaires afin que tout se déroule dans les meilleures conditions et que les chances de réussite soient optimales.
Dans des conditions normales, les chiennes ovulent pour la majorité d’entre elles la deuxième semaine des chaleurs. C’est donc durant cette période que vous devez mettre en contact le mâle et la femelle pour une saillie naturelle. Si vous rencontrez des difficultés pour faire reproduire votre chienne (elle reste vide malgré plusieurs tentatives de saillies) ou si vous voulez augmenter vos chances de réussite, nous pouvons faire un suivi de la progestéronémie de votre chienne en dosant la progestérone dans son sang.
Ces examens sont réalisés à la clinique grâce à un appareil spécifique appelé le Speed Reader et les résultats sont obtenus en moins d’un quart d’heure. Ainsi en fonction de la quantité de progestérone dans le sang, nous serons à même de vous dire précisément le moment de l’ovulation et donc le moment optimum pour la saillie ou bien l’insémination artificielle si besoin.
En effet, si vous souhaitez à tout prix faire reproduire votre chienne et que les essais se sont révélés infructueux jusque là, nous pouvons réaliser des examens complémentaires (échographie des ovaires, des cornes et de l’utérus, dosage hormonaux,…) pour confirmer la fertilité de votre chienne et pratiquer une insémination artificielle. Celle-ci a lieu à la Clinique en présence du mâle et de la femelle, avec une semence fraîche. Le mâle est prélevé sur place grâce à un vagin artificiel monté sur un tube pour récupérer la semence lors de l’éjaculation. La semence est analysée au microscope afin d’en vérifier les principales caractéristiques, notamment la mobilité des spermatozoïdes et si tout va bien, nous procédons à l’insémination de la chienne grâce à une sonde d’insémination appelée pistolet d’Osiris. En général, nous inséminons la chienne 2 fois à 48 heures d’intervalles après obtention du bon dosage de la progestérone qui est obligatoire dans ce cas-là.
Par la suite, qu’il y ait eu saillie ou insémination artificielle, le diagnostic de gestation a lieu, par échographie, à partir de la troisième semaine et avec certitude à 1 mois. Cette échographie est réalisée à la Clinique, en votre présence, et permet d’apprécier l’état des foetus et de les compter. Une ou plusieurs photos peuvent vous être remises. Une autre échographie est en général programmée en fin de gestation (la durée normale étant de 60 à 66 jours) afin de contrôler les battements cardiaques des chiots et de confirmer l’absence d’anomalie.
En cas de problème survenu en cours de gestation (baisse de forme de la chienne, pertes vulvaires anormales, infections,…), un contrôle échographique sera systématiquement entrepris.


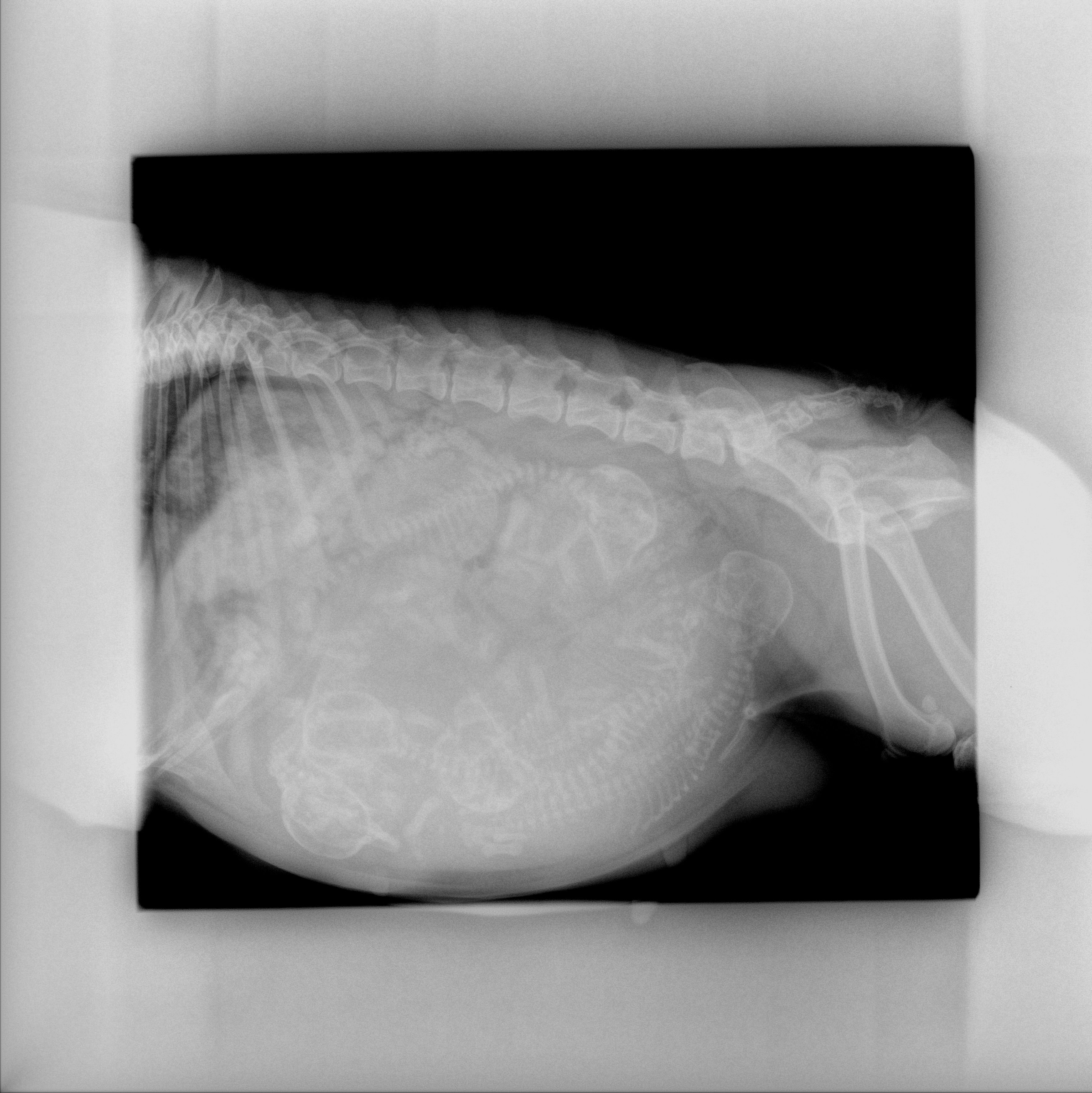
Une radiographie, après 45 jours de gestation (moment où a lieu l’ossification du squelette des chiots), pourra être programmée afin de compter plus surement et définitivement les chiots.
Enfin, le moment de la mise bas sera toujours un peu stressant pour vous propriétaire mais nous sommes là pour vous accompagner. Afin de déterminer cet instant, vous pouvez soit prendre la température rectale qui chute (aux alentours de 36°, 36.5°) ou bien réaliser un dosage de la progestérone sanguine à la Clinique, beaucoup plus précis. Si vous observez le moindre problème (plus de contraction, chienne qui souffre et rien ne sort, délais entre chiots important,…), vous pouvez tout d’abord nous contacter et si cela s’avère nécessaire nous vous ferons venir à la Clinique pour tenter une mise bas assistée et si besoin une césarienne. Au cours de la césarienne, les chiots sont réanimés par notre équipe et dès qu’ils sont sortis d’affaire, placés dans une couveuse en attendant le réveil complet de la mère. Dans certains cas, surtout pour des races à risques (Bouledogue français, Chihuahua,…), nous pourrons programmer la mise bas ou la césarienne grâce à des protocoles médicalisés spécifiques. Dans ces cas précis, tout se déroulera à la Clinique pour une surveillance optimale.
Pour toute information complémentaire, notre équipe est à votre disposition.





